
Colpisce milioni di italiani e, troppo spesso, viene ignorato fino a quando non diventa un problema serio. Il reflusso gastroesofageo non è solo un fastidio passeggero: può compromettere la qualità della vita e, nei casi più gravi, essere associato a complicazioni importanti. Bruciore di stomaco, tosse secca o raucedine possono sembrare sintomi innocui, ma dietro questi segnali potrebbe nascondersi qualcosa di più complesso. Ne parla il dottor Davide Moioli, chirurgo generale del Policlinico San Marco, centro d’eccellenza per la cura del reflusso.
“Si tratta di una condizione caratterizzata dalla risalita del contenuto dello stomaco verso l’esofago. Se si verifica più di 2 volte a settimana e per più settimane si parla di malattia da reflusso gastroesofageo. In Italia interessa circa il 30% della popolazione, il 5-7% con cadenza settimanale, se non addirittura giornaliera. Parliamo di una condizione impattante sulla vita di tutti i giorni dei pazienti che può avere sia una soluzione medica che, nei casi più gravi, è possibile ricorrere a una terapia chirurgica”.

Reflusso gastrico e tumore: l’allarme dell’esperto
Ma da cosa dipende e quali sono i fattori che lo favoriscono? Il dottor Moioli spiega che “i principali fattori di rischio sono obesità, fumo, alcol, farmaci come antidolorifici e antibiotici, dieta sregolata (caffè, cibi piccanti, pomodori, cioccolato) e presenza di un’ernia jatale”. Tutti elementi che possono indebolire lo sfintere esofageo inferiore, il cosiddetto LES, “una zona di alta pressione la cui funzione è prevenire il reflusso del contenuto gastrico verso l’esofago”.
Questo meccanismo funziona come una valvola: in condizioni normali resta chiuso e si apre solo durante la deglutizione per permettere il passaggio del cibo. Quando però si altera, l’acido risale e inizia a irritare l’esofago, provocando i classici sintomi del reflusso.

I sintomi da non sottovalutare
I segnali d’allarme, avverte l’esperto, sono chiari: “bruciore a livello dello sterno, rigurgito acido avvertito in bocca, tosse stizzosa cronica, asma non allergico, raucedine, mal di gola e alito cattivo. Questi sintomi devono portare il paziente a recarsi dal medico per sottoporsi a esami più approfonditi”.
Tra gli esami più utili ci sono la gastroscopia, che permette di osservare direttamente l’esofago e lo stomaco, e test funzionali come la manometria esofagea e la pH impedenziometria, fondamentali per valutare la funzionalità dello sfintere e la quantità di acido che risale.


Quando il reflusso diventa pericoloso
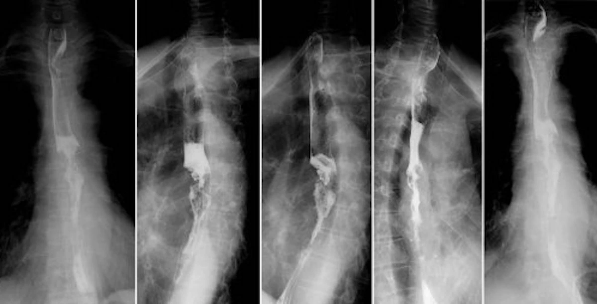
Le complicazioni di un reflusso cronico non trattato possono essere molto serie. “Il reflusso cronico può portare allo sviluppo di condizioni patologiche anche molto gravi quali esofagite, stenosi esofagea, esofago di Barrett che è una lesione pre-cancerosa, fino al tumore dell’esofago”, sottolinea il chirurgo. Per questo è importante rivolgersi a specialisti in grado di interpretare correttamente gli esami e impostare la terapia più adatta.
Nei casi più lievi può bastare una terapia medica a base di inibitori di pompa protonica, ma quando la malattia è più avanzata può rendersi necessario un intervento chirurgico. In ogni caso, l’obiettivo resta uno: prevenire le complicazioni e migliorare la qualità della vita.
Prevenzione e buone abitudini
La prevenzione è la chiave per tenere lontano il reflusso e le sue conseguenze. Controllare il peso, evitare fumo e alcol, limitare i cibi irritanti come cioccolato e pomodori, e rispettare orari regolari per i pasti sono piccoli gesti che fanno una grande differenza. Il messaggio dell’esperto è chiaro: ascoltare il proprio corpo e non sottovalutare i sintomi è il primo passo per proteggere la propria salute.
Il reflusso non è solo un fastidio momentaneo, ma un segnale da non ignorare. Con la giusta attenzione, uno stile di vita equilibrato e il supporto medico adeguato, è possibile prevenirlo e ridurre i rischi legati a una delle patologie più diffuse dei nostri tempi.


